News

NZ’s elite nurture young Bay swimmers

Budding young Bay of Plenty swim stars have honed their swimming skills under the watchful gaze of New Zealand swimming elites, following a special three-day camp.... Read More

Today's weather with Rosalie

The weather forecast today is for an often cloudy day with a chance of showers, becoming fine in the afternoon. Also southerlies developing. It's a two-clothing... Read More

Trafficker's lawyer guilty of fraud

A lawyer linked to New Zealand's first convicted human trafficker has been found guilty of fraud. Mohammed Idris Hanif was convicted for offences relating to knowingly... Read More

'Smiling assassin' to retire

A heart condition has forced the country's oldest cop to retire just short of a 50-year milestone. Canterbury highway patrol Sergeant Clem Edmonds, 74, underwent... Read More

Grants open for community groups

Community groups striving to help create a better, livelier and more vibrant Tauranga could get a lift in the right direction, as applications open for Tauranga... Read More

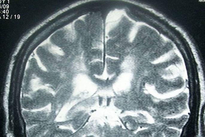
Girl's fatal tumour missed on scan

A district health board has been asked to review its radiology department, after a teenage brain cancer patient's MRI scan was misread and she later died. The teenager... Read More

BOP Under 16 squad announced

After an intensive two-day selection process hosted by the Bay of Plenty Unions Resource coaching team, the Bay of Plenty Under 16 Wider Training Group has been... Read More

Donations sought for rescue helicopters

When something goes wrong up a mountain or on a lake or in a paddock, New Zealand's rescue helicopters are there. That's why Westpac is using this year's Chopper... Read More

Public asked to avoid affected areas

Rotorua residents have started returning to their homes today after flood clean-up begins. Despite most roads now being open, Rotorua Lakes Council has asked members... Read More

SunLives top news- April 30

SunLive's top news stories: Museum bigger than by-election https://sunlive.co.nz/news/178540-museum-bigger-than-election.html TCC could lose building consent ability https://sunlive.co.nz/news/178528-tcc-could-lose-building-consent-ability.html Body... Read More

Iwi promoting healthy living

Tauranga iwi Ngati Ranginui Incorporated Society has launched a major campaign, in partnership with the Western Bay of Plenty Primary Health Organisation, to promote... Read More

Arrest after alleged Poppy Day incident

A 47-year-old man has been arrested following an alleged incident involving Poppy Day collectors in Tauranga. The man has been charged with disorderly behaviour... Read More